Therapeutische Ankylose von Milchzähnen zur Verankerung rein orthopädisch wirksamer Kräfte – Ein Patientenbericht



Nicola Schmidt-Rogge, ZÄ
Abteilung für Kieferorthopädie und Orthodontie
Zentrum für Zahnmedizin Universitätsklinikum Charité
Medizinische Fakultät der Humboldt-Universität zu Berlin
Adresse: Föhrer Straße 15, 13353 Berlin


Manuskripteingang: 23.11.1998
Erschienen in: Kieferorthopädie 12, Seite 103-112 im Jahre 1998
Mit freundlicher Genehmigung durch: Quintessenz Verlags-GmbH

Bei schweren skelettalen Dysgnathien wünschen sich Kieferorthopäden im allgemeinen eine möglichst skelettal wirkende Behandlungsmethode. Gewöhnlich werden jedoch Zähne in ihr dazugehöriges Parodont zur Kraftübertragung auf die knöchernen Strukturen benutzt. Das führt fast regelmäßig zu unerwünschten dentalen Nebenwirkungen.

Therapeutisch ankylosierte Milchzähne bieten ein ausgezeichnetes Verankerungsmittel zur Übertragung orthopädischer Kräfte auf den Oberkiefer; das Verfahren der therapeutischen Ankylose wird im Folgenden anhand einer Patientin mit skelettaler Angle-Klasse III dargestellt. (Kieferorthop 12: 103 –112, 1998)

Indizes: Angle-Klasse III, therapeutische Ankylose, Milchzähne, maxilläre Protraktion, skelettale Verankerung


Einleitung

Die meisten Kieferorthopäden sind mit den Problemen und Enttäuschungen vertraut, die sich bei der Behandlung von Patienten mit einer skelettalen Angle-Klasse III ergeben. Diese Patienten weisen in der Regel eine maxilläre Retrognathie, eine mandibuläre Prognathie oder eine Kombination dieser beiden Merkmale bei insgesamt unterschiedlicher Vertikalentwicklung auf. Weiterhin liegt häufig eine transversale Zahnbogenenge des Oberkiefers vor, die mit verschiedenen Kreuzbißformen einhergeht.

Viele Kieferorthopäden beginnen frühzeitig mit der Behandlung von Kindern mit einer Angle-Klasse III und benutzen beispielsweise Geräte wie einen Funktionsregler Typ III nach Fränkel5 oder eine Gaumennahterweiterung7 in Kombination mit einem Frontalzug-Headgear3,4,8. Viele Patienten mit Abweichungen geringen bis mittleren Schweregrades lassen sich mit diesen Methoden ausreichend gut behandeln. Andere wiederum weisen am Ende der Wachstumsperiode ein unbefriedigendes Ergebnis aus, hauptsächlich weil die zugrundeliegende skelettale Diskrepanz nicht beseitigt werden konnte.

Ein großer Anteil der Patienten mit einer Angle-Klasse III ist gekennzeichnet durch eine retrognathe Maxilla bei ortho- oder prognathem Unterkiefer. Es erscheint daher sinnvoll, eine Nachentwicklung des Oberkiefers vorzunehmen, vor allem da sich bei jungen Patienten die zirkummaxillären Suturen mechanisch gut mit Hilfe kieferorthopädischer Apparaturen beeinflussen lassen. Eine Dehnung der suturalen Gewebe durch eine Gaumennahterweiterung und eine Protraktion bewirkt eine Knochenapposition im suturalen Bereich; das Wachstum nach ventral und kaudal wird stimuliert6,9.

Gewöhnlich benutzen Kieferorthopäden die Zähne als Kraftansatzpunkt, um den nasomaxillären Komplex in der beschriebenen Richtung zu bewegen. Eine knöcherne Remodellierung tritt daher nicht nur an den kraniofazialen Knochennähten, sondern auch am Parodontium ein und kann zu erheblichen Kippungen der (Anker-)Zähne führen9.

Welcher Anteil der resultierenden Bewegung ist bei Anwendung einer Protraktionsapparatur nun tatsächlich orthopädisch und welcher orthodontisch? In einer tierexperimentellen Studie konnte gezeigt werden, daß ein solches an den Zähnen verankertes, kontinuierlich wirksames Gerät sowohl eine Knochenapposition an den suturalen Rändern als auch erhebliche Zahnkippungen verursachte und daß der größere Teil der okklusalen Veränderungen eine Folge dieser Zahnbewegungen war9. Da bei den meisten Patienten die extraorale Kraft jedoch diskontinuierlich angewandt wird, können die an der Dentition eintretenden Veränderungen tolerabel sein. Bei der Behandlung erheblicher skelettaler Mißverhältnisse zwischen Ober- und Unterkiefer ist aber zur Erzielung eines guten ästhetischen Ergebnisses eine beträchtliche Verlagerung des Oberkiefers erforderlich und eine dentoalveoläre Kompensation unerwünscht.

Um einen maximalen skelettalen Effekt zu erzielen, wäre es daher vorteilhaft, ein unbewegliches Objekt am Knochen zu haben, welches die applizierten Kräfte direkt auf die Knochennähte übertragen würde.

1980 entwickelten Guyman et al.6 eine Methode, mit der bei Rhesusaffen intentionell eine dentoalveoläre Ankylose erzeugt wurde, um anschließend an den ankylosierten Zähnen eine Gaumennahterweiterungsapparatur zu verankern. Die durch dieses Vorgehen eingetretenen Veränderungen waren ausschließlich durch Umbauvorgänge der Suturen bedingt, und die ankylosierten Zähne zeigten keine Bewegung durch den Knochen.

Die Methode der geplanten Ankylosierung wurde danach von Kockich et al.10 sowie Sheller und Omnell11,12 weiterentwickelt und bei über 20 Patienten erfolgreich zur Protraktion des Oberkiefers angewandt.


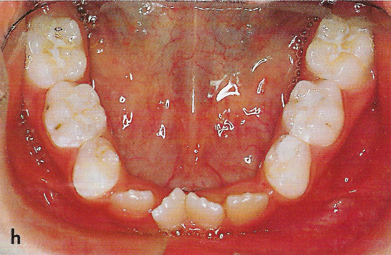
Abb. 1 a bis h Extra- und intraorale Ansicht der Patientin vor Behandlungsbeginn: Kopfbiß beziehungsweise umgekehrter Schneidezahnüberbiß und beidseitiger Kreuzbiß als Folge einer maxillären Hypoplasie sowie hälftenungleicher Mesialbiß infolge mandibulärer Verschiebung nach rechts.

  • Ankylose Abb.1a
  • Ankylose Abb.1b
  • Ankylose Abb.1c
  • Ankylose Abb.1d
  • Ankylose Abb.1e
  • Ankylose Abb.1f
  • Ankylose Abb.1g
  • Ankylose Abb.1h

Patientenvorstellung

Die Durchführung einer therapeutischen Ankylosierung und der anschließende Behandlungsverlauf werden anhand der folgenden Patientin demonstriert.

Diese Patientin war zu Behandlungsbeginn 7 Jahre alt. Sie hatte einen hälftenungleichen Mesialbiß infolge mandibulärer Verschiebung mit Kopfbiß beziehungsweise umgekehrter inzisaler Stufe, rechtsseitigem vollem Kreuzbiß und linksseitigem doppeltem Höckerbiß, maxillärer Kompression sowie Platzmangel in beiden Kiefern (Abb. 1 a bis h). Die kephalometrische Analyse ergab eine progene Kieferlagebeziehung, bedingt durch eine unterentwickelte Maxilla bei vertikalem Gesichtsschädelaufbau.

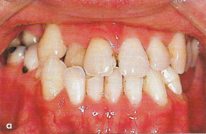
Der Vater sowie die Schwester der Patientenmutter hatten sich vor 15 Jahren einer kieferchirurgischen Korrektur ihrer Progenien unterzogen (Abb. 2 a und b), und auch der jüngere Bruder ist progen.


  • Ankylose Abb.2a

    Abb. 2 a und b Intraorale Situation des Vaters der Patientin, der vor 15 Jahren ausschließlich kieferchirurgisch behandelt wurde.

  • Ankylose Abb.2b

    Das Ergebnis ist aufgrund fehlender kieferorthopädischer Vorbehandlung unbefriedigend.

Behandlungsplan

Unser Behandlungsplan sah nach therapeutischer Ankylose der Milcheckzähne eine Gaumennahterweiterung sowie eine Protraktion des Oberkiefers vor.

Die oberen Milcheckzähne eigenen sich besonders zur Ankylosierung, da sie nur eine Wurzel besitzen, was die Extraktion und Replantation sowie die Wurzelkanalbehandlung erleichtert. Darüber hinaus verweilen sie meistens lange in der Mundhöhle. Weiterhin ist ihre anteriore Position im Zahnbogen gut geeignet, eine anterior(-kaudal) gerichtete Kraft zu übertragen, ohne eine ausgeprägte Rotation der Okklusionsebene entgegen dem Uhrzeigersinn zu bewirken.

Bei der therapeutischen Ankylosierung werden zunächst die entsprechenden Milchzähne extrahiert. Da eine Ankylosierung durch eine Zerstörung des Parodontiums ausgelöst wird, muß das Desmodont mit einer Kürette entfernt werden. Obwohl unsere Patientin erst 7 Jahre alt war, konnten nach der Extraktion an beiden Milcheckzähnen, besonders an Zahn 63, bereits apikale Resorptionen festgestellt werden. Um die Zähne später sicher und vollständig replantieren zu können, mußten deshalb mehr als die üblichen 2 mm der Wurzelspitze entfernt werden. Anschließend wurden die Wurzelkanäle konventionell aufbereitet und mit einem Calciumhydoxidpräparat gefüllt (Abb. 7). Nach Entfernung des Koagulums wurden die Zähne vorsichtig replantiert und mit einem vorbereiteten Draht an den benachbarten Zähnen stabilisiert (Abb. 8). Auf den Milchmolaren wurden Aufbisse angebracht, damit die Milcheckzähne ohne störende Okklusions- und Artikulationskontakte einheilen konnten.

Der Schienungsdraht wurde 4 Wochen nach dem Eingriff entfernt (Abb. 9). 8 Wochen nach der Replantation waren die Milcheckzähne absolut immobil und ergaben einen hellen Kopfschall bei Perkussion, so daß von einer Ankylosierung ausgegangen werden konnte.


  • Ankylose Abb.7

    Abb. 7 Die Milcheckzähne nach Entfernung des Desmodonts, Kürzung der Wurzelspitze, Wurzelfüllung und Verschluß der Trepanationsöffnung; Zähne bereit zur Replantation.

  • Ankylose Abb.8

    Abb. 8 Replantation des Zahnes 63. Der im Labor vorbereitete Stabilisierungsdraht ist bereits an den Zähnen 21 und 65 adhäsiv befestigt (Zahn 24 im Durchbruch) und wird anschließend auch mit Zahn 63 verbunden.

  • Ankylose Abb.9

    Abb. 9 Zustand 4 Wochen nach der Replantation und Entfernung des Stabilisierungsdrahtes. Die Milcheckzähne sind reaktionslos eingeheilt.

  • Ankylose Abb.10

    Abb. 10 Mit Glasionomerzement befestigte Dehnungsapparatur mit seitlichen Aufbissen und Frontalzughaken zur Gaumennahterweiterung und Protraktion.

  • Ankylose Abb.11

    Abb. 11 Patientin mit eingesetztem Frontalzug-Headgear nach Hickham. Die Abstützung erfolgt sowohl an der Kinnspitze als auch auf dem Kopf.

  • Eine Gaumennahterweiterungsapparatur in Form einer Kappenschiene wurde zementiert und zweimal täglich aktiviert (Abb. 10). 9 Wochen nach der Replantation wurde ein Frontalzug-Headgear nach Hickham8 eingesetzt, der über Gummizüge zu den Häkchen der Kappenschiene eine Kraft von etwa 4 N (400 g) pro Seite in leicht kaudaler Richtung ausübte (Abb. 11). Der Headgear wurde durchschnittlich 10 Stunden täglich für 8 ½ Monate getragen.

Abb. 12 a bis h Extra- und intraorale Ansicht der Patientin unmittelbar nach Entfernung der Apparaturen nach 8 ½ monatiger Protraktion des Oberkiefers. Der umgekehrte Überbiß und der Kreuzbiß sind beseitigt. Die mandibuläre Verschiebung besteht weiterhin und bedingt eine mesiale Verzahnung im linken Seitenzahngebiet. Es sind keine Zahnkippungen erkennbar. Die entzündlichen Gingivaveränderungen heilen innerhalb weniger Tage ab.

  • Ankylose Abb.12a
  • Ankylose Abb.12b
  • Ankylose Abb.12c
  • Ankylose Abb.12d
  • Ankylose Abb.12e
  • Ankylose Abb.12f
  • Ankylose Abb.12g
  • Ankylose Abb.12h

Behandlungsergebnis

Die Patientin wies nach der 8 ½ monatigen Protraktionstherapie eine positive inzisale Stufe auf, der Kreuzbiß und der Mesialbiß waren korrigiert; Zahnkippungen waren nicht erkennbar (Abb. 12 a bis h).

Die mandibuläre Verschiebung hatte sich trotz der Bißsperrung durch die Kunststoffschiene nicht spontan korrigiert. Die Patientin trägt deshalb jetzt einen Aktivator (Abb. 13). Wegen des weiterhin bestehenden ausgeprägten Platzmangels wird eine Reihenextraktion eingeleitet. Eine Überlagerung der Fernröntgenseitenbild-Durchzeichnungen vor und nach der Protraktionstherapie zeigt eine Vorverlagerung des A-Punktes um ungefähr 3 mm (Abb. 14a und b). Der Unterkiefer hat sich in seiner Lage (B-Punkt) nicht verändert.

Bei Abnahme der Apparatur war der rechte obere Milcheckzahn gering, der linke mäßig gelockert. Zu diesem Zeitpunkt wurde ein Orthopantomogramm angefertigt, das deutliche Wurzelresorptionen der betroffenen Zähne erkennen läßt (Abb. 15).


  • Ankylose Abb.13

    Abb. 13 Intraorale Ansicht der Patientin mit eingesetztem Aktivator zur Korrektur der mandibulären Verschiebung.

  • Ankylose Abb.14a

    Abb. 14 a und b Überlagerung der Fernröntgenseitenbild-Durchzeichnungen nach dem Verfahren der geringsten Abweichungen auf der vorderen Schädelbasis14 (a), im Oberkiefer auf dem Processus zygomaticus und im Unterkiefer auf den wachstumsstabilen Strukturen1,2 (b) vor Therapiebeginn (gestrichelte Linie) sowie nach 8 ½ monatiger orthopädischer Behandlung mit Oberkieferdehnung und -protraktion (durchgezogene Linie).

  • Ankylose Abb.14b

    Einschränkend ist festzuhalten, daß die Therapieeffekte vom natürlichen Wachstum überlagert werden. Man erkennt vor allem eine ausschließlich skelettale Vorverlagerung der Maxilla unter Beibehaltung der Okklusionsebenenneigung. Die Aufrichtung der Unterkieferinzisivi ist als Folge der Korrektur des umgekehrten Schneidezahnüberbisses denkbar.

  • Ankylose Abb.15

    Abb. 15 Orthopantomogramm mit deutlichen Resorptionen an den Wurzeln der Milcheckzähne.

Diskussion

Bei der vorgestellten Patientin konnten Milchzähne geplant, erfolgreich ankylosiert werden, um als stabile Verankerung für expandierende und sagittal gerichtete Kräfte zu dienen. Da ankylosierte Zähne absolut unbeweglich mit dem Knochen verwachsen sind, wirken die applizierten Kräfte direkt auf die Suturen, auch wenn – wie bei unserer Patientin – die verwendete Kappenschiene andere Zähne mit einbezieht. Wäre bei einem Patienten ausschließlich eine maxilläre Protraktion nötig, können Frontalzughäkchen direkt in die Kronen der Milcheckzähne einpolymerisiert werden.

Auch ankylosierte Milchzähne verbleiben nur zeitlich begrenzt in der Mundhöhle. Am längsten halten sich derartig behandelte Zähne bei jungen Patienten, am kürzesten verweilen sie, wenn zum Zeitpunkt der Extraktion und Replantation ihre Wurzeln bereits teilweise resorbiert sind. Da bei unserer Patientin unerwarteterweise solche Wurzelresorptionen vorlagen, erklärt das die relativ kurze Verwendbarkeit der Ankerzähne. Wegen der schnellen Reaktion der Maxilla auf die Protraktion reichte die Therapiezeit jedoch für eine deutliche Verbesserung der skelettalen Diskrepanz.

Eine alternative und dauerhafte Methode, eine unbewegliche Verankerung im Knochen zu erhalten, sind intraossäre Implantate oder Onplants. Smalley et al.13 zeigten, daß Titanimplantate eine stabile Verankerung zur Protraktion des maxillofazialen Komplexes darstellen. Bei den meisten kieferorthopädischen Patienten werden Implantate jedoch nur vorübergehend benötigt; das heißt, sie müßten dann, nach erfolgter Vorverlagerung des Oberkiefers, wieder chirurgisch entfernt werden.

Bei der hier vorgestellten Patientin war die skelettale Diskrepanz bereits deutlich ausgeprägt, und die Familienanamnese ließ eine ungünstige Entwicklung der Dysgnathie erwarten. Deshalb sollte innerhalb einer kurzen Behandlungszeit eine maximale skelettale Korrektur erreicht werden, ohne die Dysgnathie dentoalveolär zu kompensieren. Hätte die Therapie innerhalb von 2 Jahren nicht zum Erfolg geführt, wäre der Patientin zu einer Unterbrechung und Weiterbehandlung im frühen Erwachsenenalter mit einer kieferorthopädisch-kieferchirurgischen Kombinationsbehandlung geraten worden. Da bei dem Vater der Patientin bereits eine Umstellungsosteotomie durchgeführt wurde, waren die Eltern wegen einer eventuell bei ihrer Tochter notwendigen späteren Operation beunruhigt und stimmten der therapeutischen Ankylosierung bereitwillig zu.

Bei unserer Patientin konnte innerhalb einer apparativen Behandlungszeit von wenigen Monaten die Beziehung beider Kiefer zueinander korrigiert werden. Es besteht jetzt die Möglichkeit, daß deren Wachstum koordiniert zueinander stattfindet.

Eine therapeutische Ankylosierung kann bei Patienten im Alter zwischen 3 bis 8 Jahren angewendet werden und hat eine Erfolgsrate von nahezu 100 %12. Sie eignet sich besonders für Patienten mit moderater bis ausgeprägter maxillärer Retrusion. Auch Patienten, die komplexe brachyzephale Störungen (zum Beispiel Crouzon-, Apert- und Pfeiffer-Syndrom) mit Wachstumsstörungen der Maxilla aufweisen, können von dem oben beschriebenen Vorgehen profitieren10,11.


Zusammenfassung

Die optimale Behandlung für Patienten mit einer Angle-Klasse III infolge einer maxillären Hypoplasie oder Retrognathie ist eine rein skelettale maxilläre Vorverlagerung. Bei jungen Patienten mit beeinflußbaren kraniofazialen Suturen kann die Maxilla erweitert und vorverlagert werden. Zur Übertragung der extraoralen Kräfte auf den Oberkiefer verlassen sich Kieferorthopäden üblicherweise auf die Zähne und deren Parodont. Demzufolge treten knöcherne Umbauvorgänge sowohl in den Suturen als auch im Alveolarfortsatz auf. Um eine skelettale Bewegung der Maxilla ohne Zahnbewegungen zu erreichen, muß die applizierte Kraft auf eine absolut stabile Verankerung einwirken. Kockich und Mitarbeiter beschreiben die Verwendung intentionell ankylosierter Zähne zur Übertragung extraoraler Kräfte direkt auf die Suturen.

Das eigene Verfahren der therapeutischen Ankylosierung und der Behandlungsverlauf werden anhand einer Patientin mit einer Angle-Klasse III demonstriert.


Schrifttum

1. Björk A: Variations in the growth pattern of the human mandible: Longitudinal radiographic study by the implant method. J Dent Res 42: 400 – 411, 1963.

2. Björk A, Skieller V: Growth of the maxilla in three dimensions as revealed radiographically by the implant method. Br J Orthod 4: 53 – 64, 1995.

3. Delaire J: Confection du masque orthopédique. Rev Stomatol Chir Maxillofac 72: 579 – 584, 1971.

4. Delaire J: L’articulation fronto-maxillaire: Bases théoretiques et principles généraux d’application de forces extraorales postéro-antérieures sur masque orthopédique. Rev Stomatol Chir Maxillofac 77: 921 – 930, 1976.

5. Fränkel Ch, Fränkel R: Der Funktionsregler in der orofazialen Orthopädie. Hüthig, Heidelberg, 1992.

6. Guyman G, Kockich V, Oswald R: Ankylosed teeth as abutments for palatal expansion in the rhesus monkey. Am J Orthod 77: 486 – 499, 1980.

7. Haas A J: Palatal expansion: Just the beginning of dentofacial orthopedics. Am J Orthod 57: 219-255, 1970.

8. Hickham J, Miethke R-R: Über Gebrauch und Mißbrauch des Frontalzuges. Prakt Kieferorthop 5: 115 – 132, 1991.

9. Jackson G W, Kockich V G, Shapiro P A: Experimental and postexperimental response to anteriorly directed extraoral force in young Macaca nemestrina. Am J Orthod 76: 318 – 333, 1979.

10. Kockich V, Shapiro P, Oswald R, Koskinen-Moffett L, Clarren S: Ankylosed teeth as abutments for maxillary protraction: A case report. Am J Orthod 8: 303 – 307, 1985.

11. Omnell L, Sheller B: Maxillary protraction to intentionally ankylosed deciduous canines in a patient with cleft palate. Am J Orthod Dentofac Orthop 106: 201 – 205, 1994.

12. Sheller B, Omnell L: Therapeutic ankylosis of primary teeth. J Clin Orthod 25: 499 – 502, 1991.

13. Smalley W, Shapiro P, Hohl T, Kockich V, Brånemark P: Osseointegrated titanium implants for maxillofacial protraction in monkeys. Am J Orthod 94: 285 – 295, 1988.

14. Steuer I: The cranial base for superimposition of lateral cephalometric radiographs. Am J Orthod 61: 493 – 500, 1972.